DIVISADERO DENTAL
2007 Divisadero Street - San Francisco, CA 94115
Accepting New Patients
Click
Here
to Book Online 24/7
DIVISADERO DENTAL
2007 Divisadero Street - San Francisco, CA 94115
Book Now
Visit us on Yelp
(415) 563-4250
Schedule Appointment
Home
Dr. Rahimi
Bio
Technology
Office Photos
Services
View All
Soft Tissue Laser Dentistry
Fillings
Bridges & Crowns
Invisalign
Root Canals
Extractions
Dental Implants
Cosmetic Dentistry
Teeth Whitening
Smile Gallery
FAQs
View All
Other
Bridges & Crowns
Cosmetic Dentistry
Dental Implants
Fillings
Invisalign
Root Canals
Soft Tissue Laser Dentistry
Teeth Whitening
Contact Us
DIVISADERO DENTAL
>
Smile Gallery
>
Invisalign and Bleaching
Invisalign and Bleaching
Return to Smile Gallery
Previous
Next
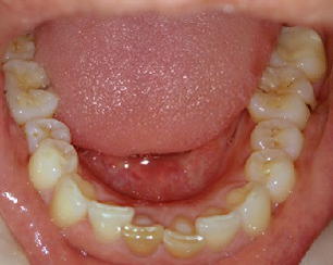
Invisalign was used to correct crowding on the lower teeth. Bleaching was also done at the completion of Invisalign treatment.
Click image to see a larger picture
Before
After
Improve your smile today – call to schedule a consultation!
Claim Now!
If you have difficulty using our website, please
email us
or call us at
(415) 563-4250
View the
ADA Accessibility Statement
Turn on ADA Views
OK!
×
×
Contact Us
Give Us A Call
Divisadero Dental -
(415) 563-4250
24/7 Online Scheduling Available
Book Online
Have Questions? Contact Us:
Required Field
Your Name:
Phone:
Email:
Are you a new patient?:
Are you a?
New Patient
Current Patient
How would you like us to contact you?
Please choose
Email
Call
How did you hear about us?
Please choose
Referred by a Patient
Yelp
Google/Bing
Other
Who Referred You?:
Your Message:
This site is protected by reCAPTCHA and the Google
Privacy Policy
and
Terms of Service
apply.
Sending...
×
This Patient's Experience
Loading Testimonial...
Loading Case...