Smile Gallery
At our Pacific Heights dental office, we can achieve stunning smile transformations. Look through our Smile Gallery to see our results on real patients.
Before

After

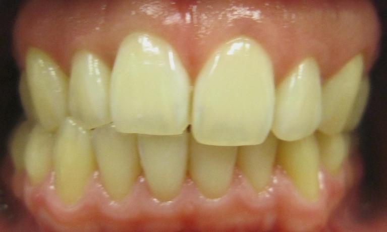
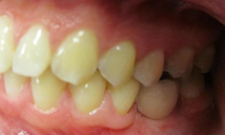
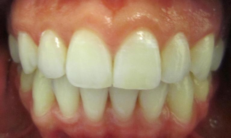
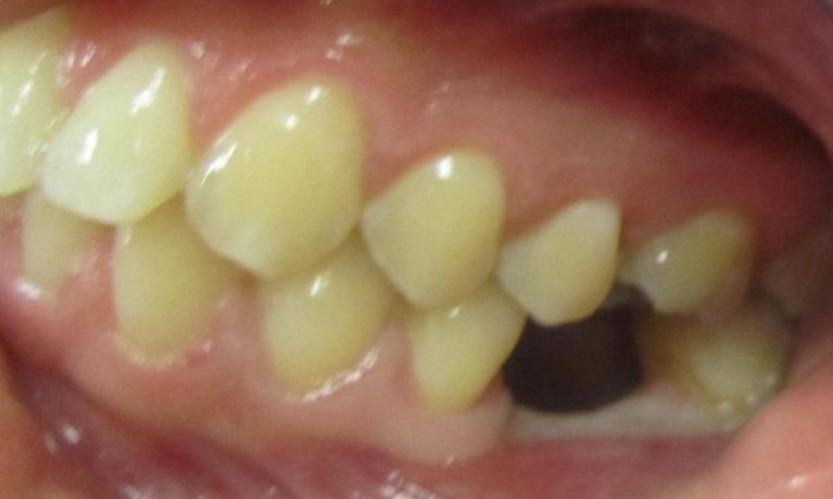
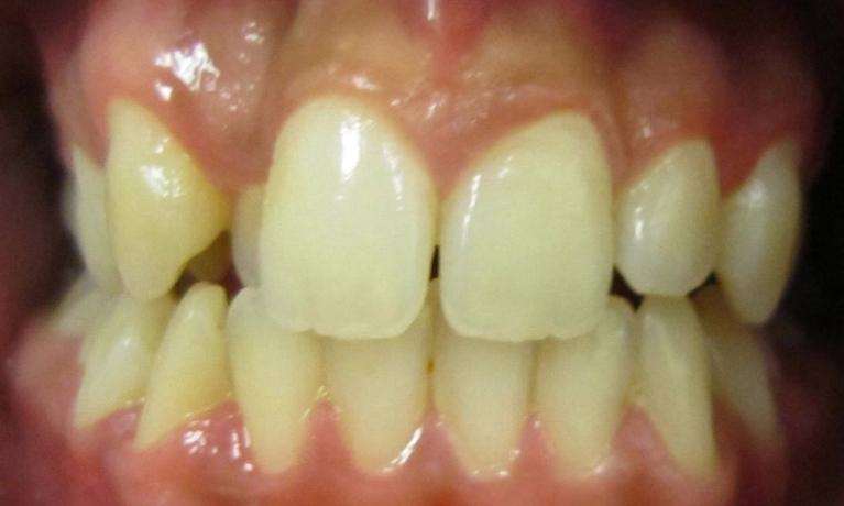
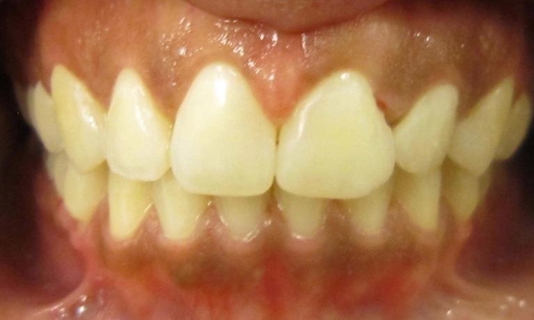
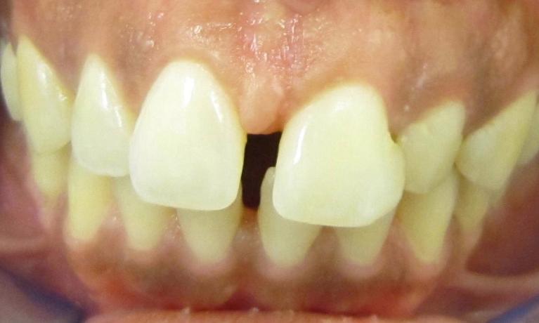
Invisalign
Invisalign was used to reduce flaring and close the diastemas (spaces) between each tooth.
Before
After
Before

After

Before
After
Before

After

Before

After

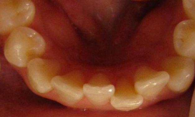
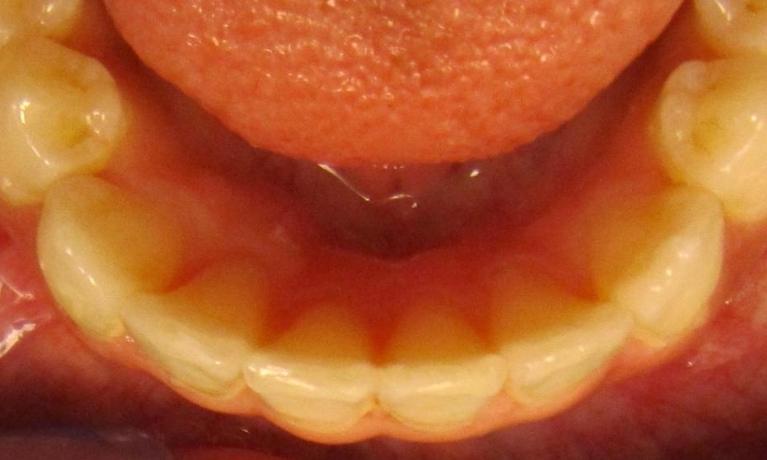
Invisalign and Bleaching
Invisalign was used to correct crowding on the lower teeth. Bleaching was also done at the completion of Invisalign treatment.
Before
After
Before
After
Before
After
Invisalign and Bleaching
Invisalign was used to correct posterior crossbite, malocclusion, and an uneven smile. Bleaching was also done at the completion of Invisalign treatment.
Before
After

24/7 Online Scheduling Available
Book Now