DIVISADERO DENTAL
2007 Divisadero Street - San Francisco, CA 94115
Accepting New Patients
Click
Here
to Book Online 24/7
DIVISADERO DENTAL
2007 Divisadero Street - San Francisco, CA 94115
Book Now
Visit us on Yelp
(415) 563-4250
Schedule Appointment
Home
Dr. Rahimi
Bio
Technology
Office Photos
Services
View All
Soft Tissue Laser Dentistry
Fillings
Bridges & Crowns
Invisalign
Root Canals
Extractions
Dental Implants
Cosmetic Dentistry
Teeth Whitening
Smile Gallery
FAQs
View All
Other
Bridges & Crowns
Cosmetic Dentistry
Dental Implants
Fillings
Invisalign
Root Canals
Soft Tissue Laser Dentistry
Teeth Whitening
Contact Us
DIVISADERO DENTAL
>
Smile Gallery
>
Invisalign
Invisalign
Return to Smile Gallery
Previous
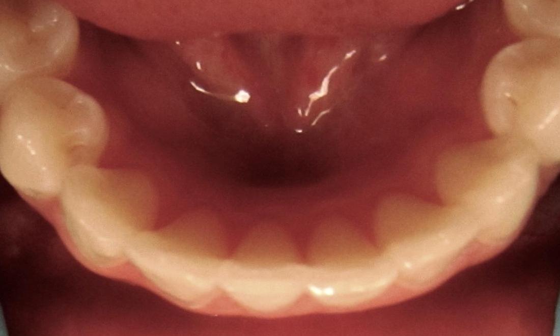
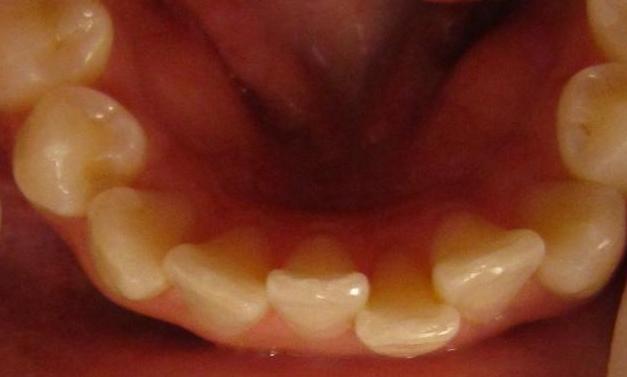
Invisalign was used to correct crowding on the lower teeth.
Click image to see a larger picture
Before
After
24/7 Online Scheduling Available
Make an Appointment
If you have difficulty using our website, please
email us
or call us at
(415) 563-4250
View the
ADA Accessibility Statement
Turn on ADA Views
OK!
×
×
Contact Us
Give Us A Call
Divisadero Dental -
(415) 563-4250
24/7 Online Scheduling Available
Book Online
Have Questions? Contact Us:
Required Field
Your Name:
Phone:
Email:
Are you a new patient?:
Are you a?
New Patient
Current Patient
How would you like us to contact you?
Please choose
Email
Call
How did you hear about us?
Please choose
Referred by a Patient
Yelp
Google/Bing
Other
Who Referred You?:
Your Message:
This site is protected by reCAPTCHA and the Google
Privacy Policy
and
Terms of Service
apply.
Sending...
×
This Patient's Experience
Loading Testimonial...
Loading Case...