DIVISADERO DENTAL
Afshin Rahimi, DMD

2007 Divisadero Street - San Francisco, CA 94115
Accepting New Patients
Click Here to Book Online 24/7

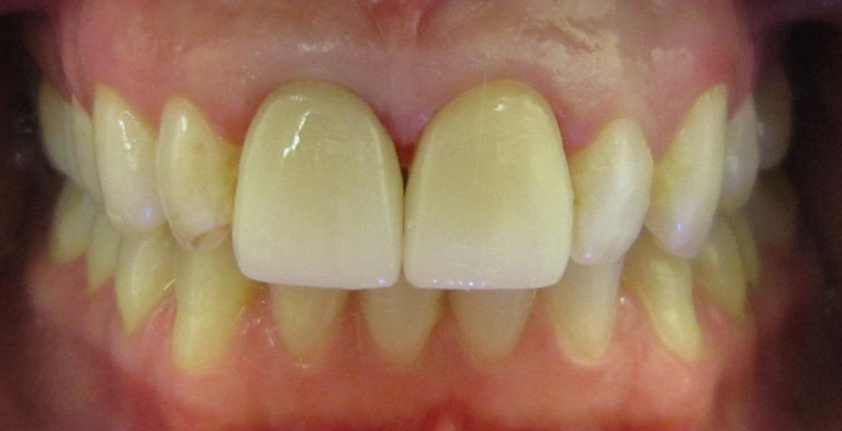
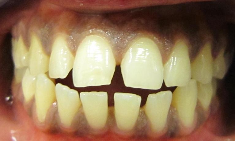
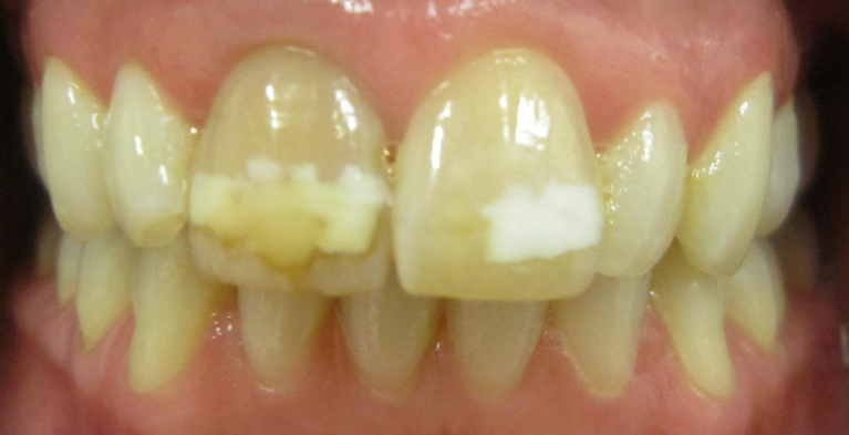
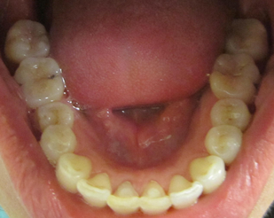
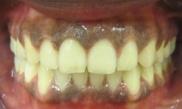
Smile Gallery

At our Pacific Heights dental office, we can achieve stunning smile transformations. Look through our Smile Gallery to see our results on real patients. 

24/7 Online Scheduling Available
If you have difficulty using our website, please email us or call us at (415) 563-4250
View the ADA Accessibility Statement